Blépharoplastie
C’est quoi Blépharoplastie ?
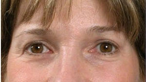
Blépharoplastie: la chirurgie plastique des paupières
Avec le temps Les yeux montrent les premiers signes du vieillissement marqué par la présence d’une peau relâchée par conséquences créant un regard fermé.
La chirurgie des paupières (ou blépharoplastie) est une chirurgie de visage qui permet de corriger les paupières et notamment le regard.
La blépharoplastie permet ainsi de redonner au regard toute sa vivacité en enlevant l’aspect triste et fatigué induit par un relâchement de la peau des paupières.
Qui peut faire la Blépharoplastie ?
- Les personnes qui sont âgés plus de 40 ans, qui veulent avoir un regard plus jeune avec des yeux claires.
- Les personnes qui ont une difficulté de gêner l’ouverture des yeux
- Les personnes qui sentent qu’ils ont un regard triste est fatigué.
Comment ça déroule ?
L’intervention est réalisée sous une sous anesthésie locale dure entre 45 minutes et une heure. Le patient peut rentrer chez lui le jour même.
Conseils
Les conseils à respecter
- L’arrêt de fumer est nécessaire avant un moins de l’opération et au minimum 15 jours après l’intervention afin de ne pas prendre le risque d’une nécrose cutanée ou d’une mauvaise cicatrisation.
- L’arrêt de toute prise d’anticoagulants, d’aspirine, ou autre anti-inflammatoire avant les 10 jours de l’intervention (Un risque de saignement est probable)
- Il ne faux pas arriver fatiguée, il faux être en bonne humeur et il faux informer le chirurgien de toute modification d’état de santé.
- Il faut enlever avant l’intervention lentilles de contact, un appareil dentaire, ou des prothèses auditives.
- Prendre un repos de travail le jour de l’opération s’il s’agit d’une chirurgie ambulatoire sous anesthésie générale.
L’ensemble de ces techniques peut être réalisé sous anesthésie locale stricte.
Généralement on peut prendre les activités normales apès 24h de l’intervention.
Quelle sont les suites opératoires ?
- Quelques jours de reports sont nécessaires après l’opération
- Ne pas prendre une douche qu’après 24h.
- Des cicatrices peuvent persister pour quelques semaines.
- Un gonflement risqué qui disparait après 1 ou 2 semaines.
- Une sécheresse oculaire
- Il est nécessaire de porter des lunettes pour masquer des ecchymoses qui vont se résorber en une à 2 semaines.
- Ne pas se maquiller qu’après 6 jours de l’opération.
Quel est le résultat de l’ opératoires ?
Le résultat final sera évalué qu’après 6 mois mais on peut distinguer une amélioration après 2 mois.
Le Taux de réussite est 95%
Les cicatrises se disparaissent après 2 mois de l’opération.
Des alertes d’urgence
Gonflement important au niveau de la paupière
Fièvre supérieure à 38°
Sensation de douleur et/ou de grain de sable de l’œil.








